Paciente chegou ao consultório com 2 pontes fixas de 3 elementos cada. O trabalho havia sido feito há aproximadamente 20 anos em metalocerâmica (uma infraestrutura metálica recoberta com cerâmica).
A queixa do paciente era que a prótese aparentemente estava infiltrada. Nossa proposta inicial foi realizar implantes nos incisivos laterais para substituir o antigo trabalho por 6 elementos isolados.


Ao solicitar uma tomografia da região para planejarmos a cirurgia dos implantes percebemos que as raizes dos dentes vizinhos estavam inclinadas impossibilitando a instalanão do implante mais estreito que existe no mercado. A partir daí tínhamos 2 opções:
Tratamento ortodôntico prévio para abrir espaço para posterior instalação dos implantes nas regiões dos incisivos laterais;
Repetir o trabalho em 2 pontes fixas.


A opçao 1 teria como principal vantagem separar todos os 6 dentes. Se em algum momento um desses dentes falhar (quebrar uma lasca ou infiltrar) só precisaríamos trocar esse dente. Para isso iriamos precisar de um Tratamento Ortodôntico prévio e da cirurgia para instalação dos implantes.
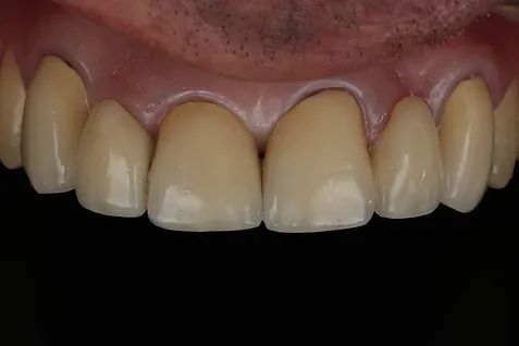
Junto com o paciente optamos pela opção de repetir a ponte. O paciente já estava acostumado ao fato dos dentes serem unidos e era um tratamento mais rápido e com um custo bem menor. Coube a nossa equipe tentar realizar um trabalho que pudesse ficar em boca por mais 20 anos e utilizar o que há de melhor hoje para isso.
Durante a fase de diagnóstico fizemos o planejamento do novo trabalho em Software específico. Dessa forma conseguimos encaixar um formato de dente natural existente na biblioteca desse programa e ja ver o efeito imediato dessa mudança. Melhoramos a estética com previsibilidade.
Trocamos a liga máetlica convencional por Zirconia para a infraestrutua. Isso vai conferir resistência, melhor propriedade estética e maior biocompatibilidade com os tecidos periodontais.
A peça em metaloceramica na época havia sido cimentada com fosfato de zinco. Hoje tivemos a oportunidade de cimentar com o cimento Multilink da Ivoclar Vivadent, um cimento que possui um primer para Zirconia e consegue aumentar a adesão da peça protética ao dente.

Caso resolvido em 4 consultas:
Consulta inicial (fotografia, moldagem e solicitação de exames);
Remoção da peça antiga e instalação do provisório para diagnóstico;
Moldagem para confecção das novas peçaçs;
Cimentação.