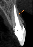
Implante

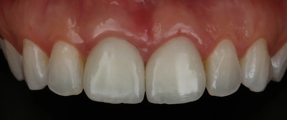
Paciente nos procurou com queixa estética pelo tratamento com facetas em porcelana nos incisivos centrais. Após avaliação clínica e dos exames radiográficos foi verificada reabsorção interna no incisivo central superior direito, condenando esse dente à exodontia. 

Estava diante de um grande desafio: devolver a arquitetura gengival alterada pelas facetas inadequadas já presentes tendo que realizar um implante dentário na região de incisivo central de uma paciente jovem, com sorriso gengival, filha de dentista e que só queria mudar esses dois dentes.

Realizamos então a exodontia do incisivo central superior direito, seguido de implante, enxerto 100% com biomaterial, provisório imediato e posterior troca da faceta do incisivo central superior esquerdo. A maior preocupação era utilizar uma técnica cirúrgica que mantivesse o alinhamento da gengiva com os dentes vizinhos e uma reabilitação protética que escondesse o implante e a faceta do dente vizinho no conjunto do sorriso.

Venha nos fazer uma visita

Estamos dispostos a fazer você voltar a sorrir com segurança