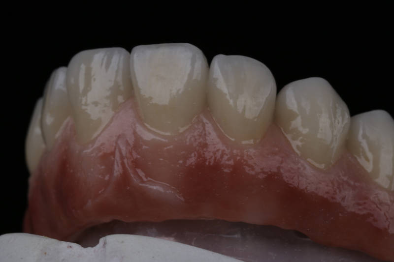
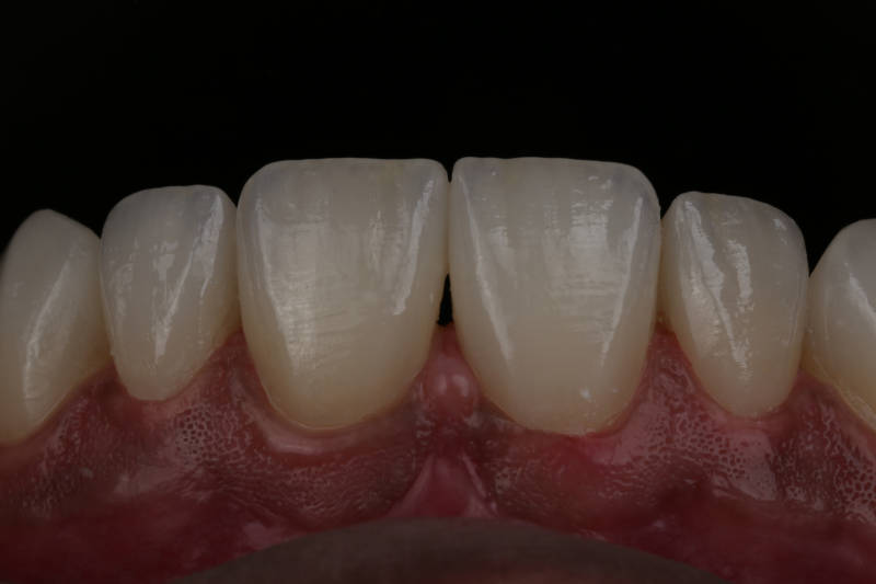
Dispomos de um laboratório de alto padrão dentro na nossa estrutura, trabalhando em fluxo analógico e digital.
São 3 salas com os melhores equipamentos do mercado e mão de obra extremamente qualificada nos setores de Gesso, Resina Acrílica e Cerâmica, entregando trabalhos de excelência em diversos sistemas de cerâmica pura, prótese protocolo em acrílico e em cerâmica dentre outros.